
子どもの矯正治療は、成長・発育期を活用することで、大人になってからの矯正治療では難しいあごの骨の成長コントロールを行うことが可能です。歯ならびや咬み合わせに問題がある場合、早期治療を始めることで、歯列だけでなくあごや顔全体の歪みを防ぎ、健康な体の発育を促進します。
子どもの矯正治療には大きく分けて2つの段階があります。
主に骨格的な問題を正す治療で、あごの成長の促進や抑制を行ったり、歯列を整えるスペースを確保します。この治療では、機能的矯正装置を使用してお口周りの筋肉の力を利用することが多く、小学生の時期に行うのが最適です。叢生、上顎前突、反対咬合などに対する治療が含まれ、歯を抜かずに治療する努力がなされます。第1期治療のみで完了する場合もあります。
永久歯にすべて生え変わった中学生以降の段階で行う治療で、第1期治療によって確保されたスペースや骨格的な改善をベースに、全体的な歯ならびを整え咬み合わせを仕上げます。
矯正治療期間中は、むし歯や歯周病予防が重要です。装置の周囲に食べカスが溜まりやすいため、通常以上のブラッシングや歯間ブラシの使用が推奨されます。また、ガム、キャラメル、固い食べ物などは装置に負担をかけるため、食べ物の選び方に注意が必要です。
子どもの矯正治療では、さまざまな種類の装置が使用されます。これらは固定式(取り外しできない)と可撤式(かてつしき=取り外しできる)の2つに分類されます。

下あごの歯列を拡げる装置

永久歯の歯ならびを整える一般的な装置

上あごの歯列を拡げる装置

上あごの歯列を拡げる装置

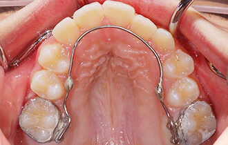
下顎舌側の固定ワイヤー。スペース保持・臼歯安定に用いる装置

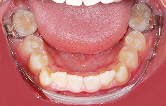
下顎の歯列を側方に広げる固定式矯正装置

咬合に斜面を付けて過蓋・交叉咬合を是正

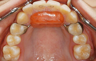
犬歯と奥歯に装置を付け、ゴムの力で歯を後方へ移動してスペース確保

上顎の6歳臼歯を後方に移動させるための小児矯正装置

後退している下あごを前方へ誘導することによって成長を促す装置

上あご(または下あご)の骨を拡げるための装置で、スクリューを回転させて調整
詳しくはこちら

下あごの発育を促進する装置

唇からの圧力を抑えて前歯の歯並びが悪くなることを防止する装置

上あごの成長を促進する装置

上あごの前方への成長を抑制したり、奥歯を後方に移動させる装置。首を固定するもの(サービカルヘッドギア)や頭を固定するもの(ハイブルヘッドギア)のタイプがある。

混合歯列期の子ども向けの透明アライナー矯正装置
一般的に矯正治療というと、1つ1つの歯に装置をつけて歯を動かす治療をイメージされる方が多いですが、床矯正(しょうきょうせい)は、拡大床という装置を使い、歯を動かすのではなく、歯列の幅や奥行きを拡げて歯が生えるスペースを増やす治療のことをいいます。
成長途中のお子さまなどに対してよく行われる治療で、あごの骨の成長をサポートして、大人の歯が生えてくるスペースを確保することで、将来的な抜歯を伴う矯正を避けることができます。お子さまの成長に合わせて、自然な歯列にすることを目的としています。
専用のネジを使って、少しずつ装置を拡げていき、歯列を拡大します。
T4K(TRAINER FOR KIDZ)は、成長期のお子さまのために開発された口腔筋機能トレーナー型の矯正装置です。この装置は、お口の周囲の筋肉や舌の動き、口呼吸など、歯並びや咬み合わせに影響するさまざまな習癖を改善し、健全な歯ならびやあごの成長を促すことを目的としています。
T4Kを装着し、日中1時間以上と就寝時に継続的に使用することで、舌の突き出しや口呼吸、悪い飲み込み方(異常嚥下)などの悪癖を改善します。その結果、歯列の正常な発達や、お顔・あごの正しい成長、発音の向上などが期待できます。
また、乳歯から永久歯に生え替わる時期(通常6~12歳頃)のお子さまに適した装置で、早期に癖を整えることで、将来的な歯ならびの乱れや健康への悪影響を予防することができます。
受け口の原因として、幼少期の舌の位置と力が関係していることがわかっており、無意識のうちに舌で下のあごを歯で押すことにより、下のあごが前方へ成長し、受け口と呼ばれる状態になることがあります。
小さいお子さまの受け口をそのままにしておくと、下あごの骨が過成長しやすい状態が続き、将来的な顔貌にまで影響を及ぼすことがあります。そのままの状態で成長してしまうと、治療の選択肢が少なくなるうえに、治療が難しくなります。中には将来、外科的な処置でしか対応できない場合が出てきます。
歯列矯正用咬合誘導装置(ムーシールド)は、寝ている間だけマウスピース状のものを口の中にはめるという負担が少ない治療で、幼少期(3~6歳)のお子さまに治療が可能です。
就寝時に毎日しっかり装着していただければ改善率の高い装置です。
ただし、ムーシールドで一度改善しても成長・発育によって反対咬合が再発する可能性がありますので、その場合はⅠ期治療(子どもの矯正)が必要です。
初めは違和感があると思いますが、1ヶ月もすれば慣れてくるでしょう。寝ている間だけでなく、起きている間にもはめるように心がけ、少しずつ慣らしていきましょう。

ワイヤーを固定しているオーリングというゴム輪に、色つきのものを使用します。透明タイプで目立たないものから24色の中から選べるカラフルなものまであり、季節や気分によってお好きなものを選んでいただけます。
子どもの矯正治療は、単に外見の改善だけでなく、咬み合わせや全身の健康状態にも大きく影響を与えます。各家庭の状況に合わせた適切な装置を使い分けることで、治療が楽しく、そして効果的に進められるでしょう。矯正専門医と相談しながら、成長期にふさわしい治療を行うことが重要です。